Fixed Total Prosthesis on Implants
Fixed Total Prosthesis on Implants
Treatment Plan:
We are a family owned and operated business.
1. Pre-Surgery Oral Hygiene
2. Extraction of all teeth in the upper and lower jaw
3. Bone and Gum Remodeling
4. Placement of 4 implants in the upper jaw and 4 implants in the lower jaw
5. Placement of a Provisional Fixed Acrylic Full Arch Bridge in the upper and lower jaw
Treatment Plan:
We are a family owned and operated business.
1. Pre-Surgery Oral Hygiene
2. Extraction of all teeth in the upper and lower jaw
3. Bone and Gum Remodeling
4. Placement of 4 implants in the upper jaw and 4 implants in the lower jaw
5. Placement of a Provisional Fixed Acrylic Full Arch Bridge in the upper and lower jaw
Treatment Plan:
We are a family owned and operated business.
1. Pre-Surgery Oral Hygiene
2. Extraction of all teeth in the upper and lower jaw
3. Bone and Gum Remodeling
4. Placement of 4 implants in the upper jaw and 4 implants in the lower jaw
5. Placement of a Provisional Fixed Acrylic Full Arch Bridge in the upper and lower jaw
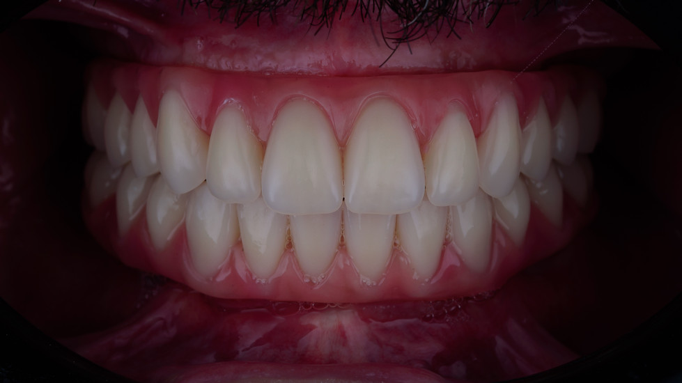
Fixed Total Prosthesis on Implants
Totally rehabilitating an upper and lower smile through implants implies a high level of demand. Nowadays, our patients are not only concerned with the functionality of their new prostheses but, above all, with the fact that they look natural. Knowing the personality of our patients and their desires is essential to achieve their goals and return the appearance they seek.
Treatment Plan:
We are a family owned and operated business.
1. Pre-Surgical Oral Hygiene
2. Extraction of all upper and lower teeth
3. Gingival and bone remodeling
4. Placement of 6 implants in the upper jaw and 4 implants in the lower jaw
5. Placement of Upper and Lower Acrylic Fixed Prosthesis on the same day
6. Making of Upper and Lower Definitive Total Prostheses
Responsible Team

Dr. Pedro Pimenta







